日本25岁写真偶像天木纯(天木じゅん)拥有甜美脸蛋以及I罩杯的惊人上围,她近期晒出上半身的X光片,直接用证据打脸质疑她是假奶的酸民。
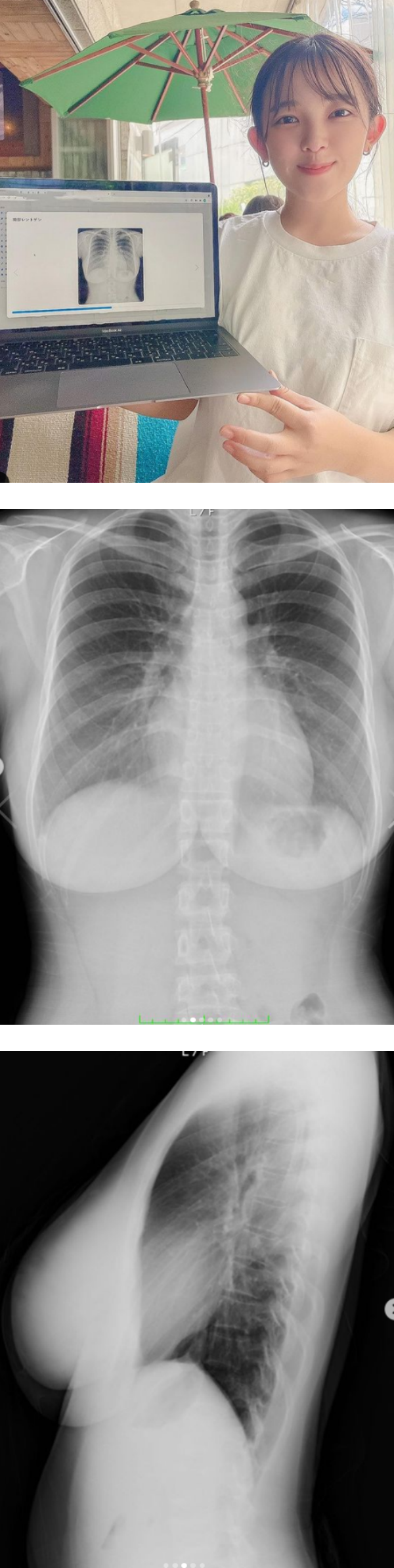
天木纯18日在IG晒出一组自己的X光片,包括正面、侧面以及两边乳房的特写照。她特别提到X光片中右胸部分有影子是胃泡,而透过X光片可看出她的胸部是纯天然,没有任何填充物。

据悉,天木纯因为I罩杯被日媒封为“战舰级雪乳”,但也因此引来不少质疑她是假奶的酸民。此次她直接晒出X光片自证清白,同时也透过健康检查得知自己的体检数值一切正常,比2年前更健康。

+++++++++++++++++++++++++++++++++++
【好HIGH TECH】 手机App合法养小三?和偶像王嘉尔调情也行!什么情况……
天木纯18日在IG晒出一组自己的X光片,包括正面、侧面以及两边乳房的特写照。她特别提到X光片中右胸部分有影子是胃泡,而透过X光片可看出她的胸部是纯天然,没有任何填充物。

据悉,天木纯因为I罩杯被日媒封为“战舰级雪乳”,但也因此引来不少质疑她是假奶的酸民。此次她直接晒出X光片自证清白,同时也透过健康检查得知自己的体检数值一切正常,比2年前更健康。

+++++++++++++++++++++++++++++++++++
【好HIGH TECH】 手机App合法养小三?和偶像王嘉尔调情也行!什么情况……